Modern tools for precise treatments.
Skilled care you can trust.
Comfortable and gentle procedures.
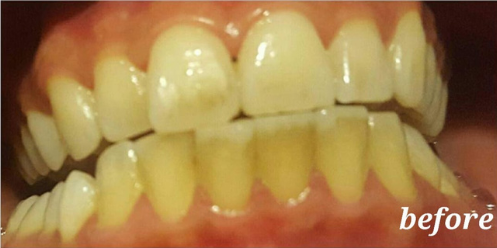
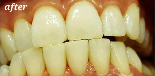
A healthy, confident smile begins with clean and well-maintained teeth. At Smile Studio, we offer expert scaling and polishing treatment designed to remove plaque, tartar, and surface stains that regular brushing cannot eliminate. This treatment not only enhances the appearance of your teeth but also protects your gums from infection and disease.
Our experienced dental professionals carefully clean and polish your teeth to restore their natural shine while improving your overall oral health. Regular scaling and polishing help prevent gum problems, bad breath, tooth decay, and long-term dental issues. With routine care at Smile Studio, your smile stays fresh, bright, and healthy, giving you the confidence you deserve.
Teeth scaling and polishing is one of the most effective ways to maintain strong gums, healthy teeth, and a confident smile. At Smile Studio, this treatment not only improves the appearance of your teeth but also plays a vital role in preventing serious oral health problems. Regular professional cleaning removes harmful bacteria, protects your gums, and keeps your mouth feeling fresh and clean.
At Smile Studio, we believe that every smile deserves expert care and attention. Our professional scaling and polishing services are performed by highly skilled dentists using advanced equipment and proven techniques to deliver outstanding results. We focus not only on making your teeth look better, but also on protecting your long-term oral health.
Our qualified dentists provide precise, gentle, and effective treatment tailored to your needs.
We use modern dental tools and ultrasonic scalers for thorough and comfortable plaque removal.
Each patient receives customized care based on their dental condition and oral health goals.
Your dentist begins with a thorough examination of your teeth and gums to assess plaque buildup, gum health, and any areas that require special attention.
Using advanced ultrasonic tools, plaque and hardened tartar are carefully removed from the surface of your teeth and along the gum line, preventing gum disease and tooth decay.
Your teeth are polished with a special paste to remove surface stains and smooth the enamel, leaving your smile brighter and cleaner.
The dentist performs a final inspection and provides personalized guidance on maintaining your results at home for long-lasting oral health.



Most patients should have this treatment every 6 months, but your dentist may recommend a different schedule based on your oral health.
The procedure is generally painless. Some patients with sensitive gums may feel slight discomfort, but it is mild and temporary.
No. When performed professionally at Smile Studio, scaling is completely safe and protects your teeth and gums from disease.
Yes. By eliminating bacteria and plaque, this treatment greatly improves breath freshness.
Schedule your visit with our experienced dental specialists and take the first step toward a healthier, confident smile.
Fill out the form below to request your dental appointment. We’ll confirm your time and send you a reminder.
At Smile Studio, we are committed to delivering high-quality dental care in a comfortable and welcoming environment.
© 2025 Smile Studio. Developed by Xtreme Origin
WhatsApp us